睡眠拉伸颈椎 乐伽AI智能按摩睡眠枕小米有品众筹上线
发布时间:2021-02-24 17:33
调查数据显示,超过3亿中国人有睡眠障碍,成年人失眠发生率高达38.2%,此外,6成以上90后觉得睡眠时间不足,6成以上青少年儿童睡眠时间不足8小时。这些数据背后,中国人的睡眠到底怎么了?

工作压力大,睡前刷手机,碎片化娱乐越来越普遍,加上对床垫枕头的错误选择都是导致睡眠问题的原因,让颈椎曲线慢慢产生变化,导致更严重的问题。

2月25日10点#小米有品众筹#乐伽AI智能按摩睡眠枕,299元超值众筹开启!这一款枕头恰如其分的针对睡眠和颈椎问题进行了深入的研发,此款枕头包含四种按摩模式(深度拉伸、颈部按摩、放松睡眠、清晨唤醒)、以及按键和米家APP操控,让人们在睡眠前夕能够深度放松颈椎,按摩颈部,加上最合适的温度,会让人更好的进入睡眠。

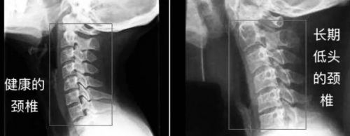
颈椎病已经不是老年人的”专利“了,中青年人已跻身颈椎病大军。这与智能手机的普及以及移动互联的迅猛发展密切相关,地铁里、公交上、餐桌边,甚至在马路上,随处可见低头刷手机的人。

数据显示30岁以下的颈椎病患者占接近40%。颈椎病的低龄化已演变成一种趋势,并以不可思议的速度增加中。人们1/3的时间都在睡眠,不适当用枕也可能导致颈椎问题加剧。
乐伽AI智能颈椎按摩睡眠枕, 睡前按摩,缓解颈椎酸痛疲劳,缓解了颈椎问题以及睡眠问题,健康身体唾手可得。

网址:睡眠拉伸颈椎 乐伽AI智能按摩睡眠枕小米有品众筹上线 https://c.jiaju82.com/news-view-id-742997.html

